Metallkundlich-technologische Untersuchungen zum Elektronenstrahlschweißen mit kombinierter Mehrprozesstechnik von austenitisch-ferritischen Stählen ohne Schweißzusatz
Projektleiter:
Projektbearbeiter:
Dipl.-Wirtsch.-Ing. Daniel Keil,
M. Eng. Sergii Krasnorutskyi
Finanzierung:
BMWi/AIF;
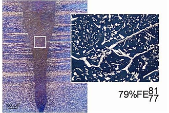
Das Ziel des Projektes besteht in der qualitätssicheren Herstellung von Elektronenstrahl (EB)-Schweißnähten an dickwandigen Bauteilen aus Lean- und Standard-Duplexstahl in Walz- und Gussqualität ohne Schweißzusatz und Lösungsglühen durch die Entwicklung einer an die metallurgischen Besonderheiten dieser Werkstoffgruppe angepassten innovativen EB-Mehrprozesstechnologie. Wesentliche Qualitätskriterien bilden hierbei das Erreichen ausgewogener Austenit-Ferrit-Verhältnisse und das Gewährleisten der geforderten mechanisch-technologischen Gütekennwerte sowie der notwendigen Korrosionsbeständigkeiten.
Anmerkungen
Die Zusammenfassung der Ergebnisse zuzüglich Förderhinweis, BMWi-Logo und Hinweis auf den Schlussbericht befinden sich im Projektanhang.
Schlagworte
Duplex, Elektronenstrahlschweißen, Ferritgehalt, Korrosionsbeständigkeit, Lean-Duplex, Mehrprozesstechnik, mechanisch-technologische Kennwerte
Geräte im Projekt
Kontakt
Dr.-Ing. Manuela Zinke
Otto-von-Guericke-Universität Magdeburg
Institut für Werkstoffe, Technologien und Mechanik
Universitätsplatz 2
39106
Magdeburg
Tel.:+49 391 6758513
weitere Projekte
Die Daten werden geladen ...
